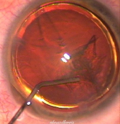
La canule (tuyau qui ne pique pas, par opposition à aiguille, tuyau qui pique) est introduite par la voie d'abord principale de 2,8 mm de large, réalisée au bistouri pré-calibré à usage unique. L'eau salée a ici investi deux limites de la structure concentrique du cristallin, offrant cet aspect étonnant de double anneau doré :


hydrodissection de la cataracte



page suivante : phako-émulsification

page précédente : capsulorhexis = trépanation de la cataracte

pour revenir à la séquence, cliquez sur la photo

accueil